这本鸽了,还没吭声,很对不起喜欢本书的读者。
鸽的原因有两个,第一个是成绩不行,第二个是心态炸了。
这次倒不是因为举报,毕竟这本成绩真的差,没人打卡举报。
这次是因为我本人的原因。
那段时间感觉眼睛快瞎了一样,怎么都不得劲,然后我就去了医院。
医院看了看,说屁事也没有,只是疲劳过度,感觉眼快不行了也是心理作用。
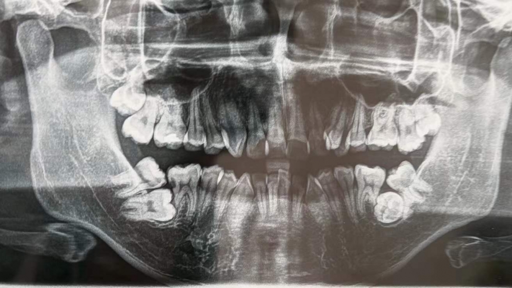
300多度,配了个眼镜就没啥了,真正让我心态炸了的是牙。
想着牙坏了,顺便补一下,结果牙没补成搞出了大事。
左右两根智齿已经把第三颗大牙根子吸收了,两边都是,必须要拔。
不是拔一两个,光下面的牙就要拔六颗,然后要种四颗。
上面两颗智齿也长出来了,也得拔,也就是得拔八根牙。
医生看了都说活久见,除了案例之外,还是第一次见到我这种患者。
倒也可以不修,只是过个十来年就得戴牙套了。
我特么……emmm
可能是心态炸了,感觉各种不得劲,别说写作热情,就连生活热情都没了。
总之这本书对不起读者们,调整好心态写下本书,这本书一定要好好写,就算真的扑成狗也会写完。
厚颜推荐一波,希望大家能喜欢我的新作品。
